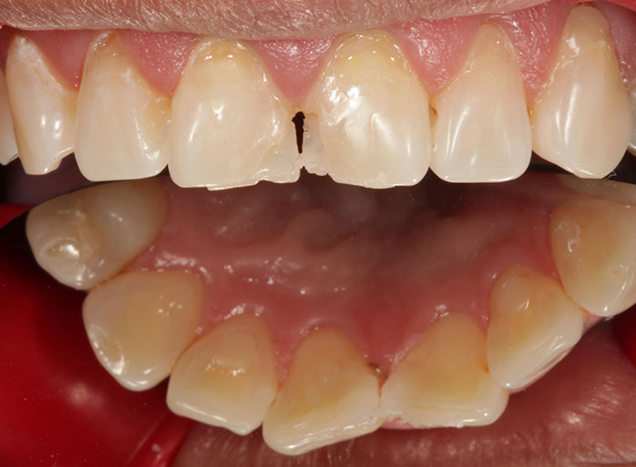
Fotografía de caso clínico